Echipament Computer Tomograf
Tehnologia Quad Sampling

4640 de vizualizări per rotație oferă o densitate mare de eșantionare a datelor. Simplu spus, rezultă o rezoluție izotropă de 0.32 mm și un pitch de până la 1.7, lider pe piață.
Matricea de Reconstrucție 1024
Tehnologia de reconstrucție cu matrice 1024 oferă rezoluția spațială necesară pentru studiile de noduli pulmonari și ureche internă.
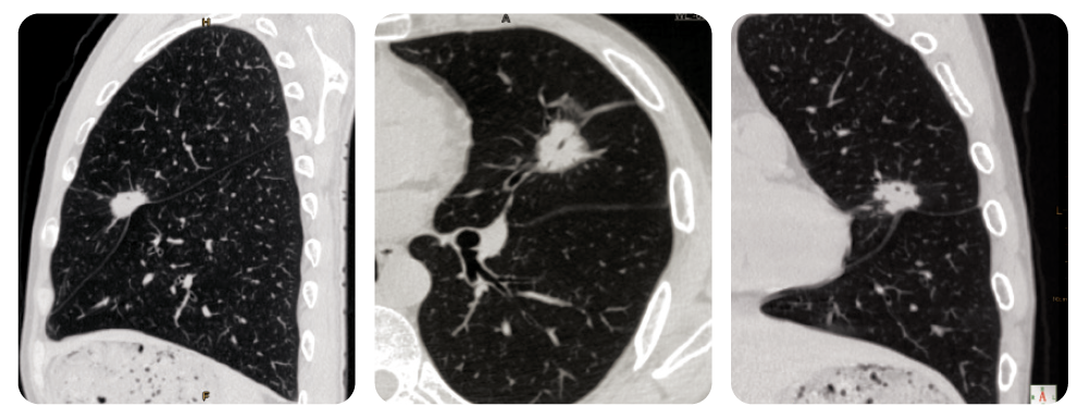
Imagini Pulmonare de Înaltă Rezoluție
Reformarea multiplanară arată un nodul pulmonar solitar în lobul superior stâng. Acest nodul prezintă margini neregulate, semne lobulate și pleurele golite. Acestea sunt indicatori clinici ai carcinomului.

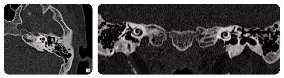
Imagini de Înaltă Rezoluție a Urechii Interne
Reformarea multiplanară coronară și axială arată structurile mici ale urechii interne, cum ar fi cohlee și canalele semicirculare

Soluții cardiace cu doză redusă;/h3:
Scanare Prospectivă
NeuViz 64 In poate suporta imagistica cardiacă prospectivă cu declanșare ECG la sfârșitul diastolei. Împreună cu reducerea curentului tubului și algoritmul avansat de reconstrucție iterativă ClearView, se poate obține o doză pentru pacient sub 3mSv.

Scanare Retrospectivă cu Doză Redusă
În fiecare ciclu cardiac, achiziția este continuă, cu urmărire ECG simultană pentru a obține datele. Cu toate acestea, curentul tubului ar fi redus în mare măsură la sistolă și începutul diastolei pentru a optimiza doza pentru pacient.

Beneficii Clinice
NeuViz 64 In oferă o vizualizare superioară a arterelor coronare, cum este demonstrat în studiile VR și MPR prezentate mai jos.
Bărbat, 45 de ani, 66 bpm, 2.77mSv

Soluții de Aplicație Post-procesare
NeuViz 64 In este proiectat pentru a oferi soluții cardiace care includ scorul de calciu cardiac, analiza funcției cardiace și chiar analiza coronariană. Oferă certitudine diagnostică completă pentru imagistica cardiacă.

Scorul de Calciu Cardiac

Analiza Coronariană Cardiacă

Analiza Funcției Cardiace
Gama completă de aplicații clinice
Analiză Avansată a Vaselor de Sânge

Analiză a Nodulilor Pulmonari

Analiză a Densității Pulmonare

Perfuzia Cerebrală

Analiză Dentară

Flux de lucru optimizat, intuitiv
Flux de lucru intuitiv și interfață de utilizator ghidată pentru profesioniștii din domeniul sănătății, folosind o „bară de instrumente ghidată”, concepută pentru a facilita fluxul de lucru zilnic.

